18-19.10.2015г. Специалист клиники, Прокопенко Юлия Александровна, прошла обучение по курсу: «Современные методы устранения дисколоритов зубов». к.м.н. А.Акулович в Москве.
12-13 сентября 2015г. сотрудники клиники прошли обучение Рогацкина Дмитрия по теме «Трехмерная радиодиагностика челюстно-лицевой области» в городе Воронеж.
08.05.15г. - 09.05.15г. Сотрудник фрезерного центра Магамедэминов Р.С. прошел обучение по курсу «Цельнокерамические реставрации» у зубного техника Александра Щеблыкина в Воронеже.
Ровные, красивые зубы неотъемлемый признак успешного современного человека. При этом по разным источникам более 80% населения имеют те или иные нарушения прикуса.
В клинике микроскопной стоматологии "Мастерская улыбок" действует специализированное ортодонтическое отделение для приема пациентов всех возрастных групп.
Для исправления прикуса применяется различная аппаратура, в том числе, брекеты всех видов: лингвальные (невидимые), сапфировые , керамические, металлические. В том числе применяются прозрачные каппы для исправления прикуса.
Ортодонтическое лечение рассчитано на срок от нескольких месяцев до нескольких лет, и в большинстве случаев позволяет достигать превосходных эстетических и функциональных результатов.
Invisalign...
Мода на красивую улыбку будет жить вечно. Это факт. И если природа не наделила человека безупречно ровным зубным рядом, современная стоматология может исправить этот недостаток, причем незаметно для окружающих.
Если Вы хотите иметь красивую улыбку и ровные зубы, но вас смущает ношение брекетов, можно воспользоваться современной методикой лечения, основанной на технологии компьютерного моделирования — Инвизилайн (безбрекетное лечения прикуса и эстетичное восстановление зубной дуги).
Разработана эта технология была почти тридцать лет назад в Калифорнии (запатентована в1986 году), Сейчас метод «Инвизилайн» популярен не только в Америке и Канаде, но и во многих странах Европы. Есть первые счастливцы и в России, которым отечественные стоматологи, прошедшие курс обучения и получившие соответствующий сертификат в Калифорнии, помогли обрести обворожительную улыбку.
Итак, что же представляет собой чудо-метод исправления прикуса. В переводе с английского «invisible» значит «невидимый».
Метод сочетает вместе с ортодонтией компьютерную 3D-технологию сканирования слепков пациента лазерным стереолитографом – трехмерным копировальным аппаратом с высочайшим разрешением. Затем все данные (скопированные слепки, снимки пациента анфас и в профиль, рентгенограммы и особые пожелания клиента) обрабатывает компьютер, в результате чего стоматолог получает идеальную для данного конкретного пациента схему линии зубного ряда. Основываясь на полученных данных, ортодонт составляет индивидуальный план лечения для достижения намеченного идеального результата. Для этого используется определенное количество капп, которые изготавливаются путем лазерного напыления на слепок прозрачного биополимера. Получается ряд своеобразных прозрачных и прочных чехольчиков на зубы, точно соответствующих форме и размеру зубов пациента. В каждую каппу нуждающегося в коррекции зуба при ее создании закладывается определенное программой лечения изменение, стимулирующее микродвижение зуба, приводящее при постоянной носке данного ряда колпачков к запланированному результату. Иногда на зубы дополнительно требуется нанести аттачмены («attachment» - крепление, своеобразная капелька из композиционного материала). Но они тоже практически незаметны, так как выполняются того же цвета, что и эмаль зуба. В конце лечения аттачмены бесследно и легко убираются с поверхности зубов.
Преимущества:
Подробнее
Лечение Invisalign может легко и просто влиться в Вашу повседневную жизнь, без какой-либо суматохи или смущения. У Вас не будет металлической проволоки или брекетов, поэтому не нужно беспокоиться о раздражении слизистой рта, и элайнеры удобно носить и легко снимать во время еды, питья, чистки зубов или пользовании зубной нитью.
Следующее, что необходимо отметить: при установке брекетов пациенту приходилось каждый месяц посещать ортодонта, чтобы отрегулировать натяжение и давление брекетов на зубы. С Invisalign каппы просто придется менять один раз в несколько недель на следующую пару, которая будет немного отличаться по своей форме, что позволит зубам занимать правильное положение. Каждая каппа изготавливается индивидуально, учитывая анатомические особенности ротовой полости и зубов пациента. Необходимо понимать, что форма зубов и прикус у каждого человека индивидуальны, поэтому и система позиционеров должна разрабатываться конкретно под каждого пациента. Так же при создании капп учитывают состояние десен и скорость смещения каждого зуба.
Сроки лечения
Подробнее
В отличие от металлических брекет-систем, каппы Инвизилайн не тянут зубы, а лишь как бы подталкивают, направляют их к нужной позиции, не оказывая чрезмерного давления. Сила, с которой они воздействуют на зубы, невелика, но постоянна, что позволяет постепенно избавиться от неправильного прикуса.
Итак, можно сказать, что в основе методики Инвизилайн лежит давление в «малых дозах». Вот почему для успешного завершения лечения требуется последовательная (примерно раз в 2 недели) смена капп, и иногда их число доходит до 30—40.
Ценовая политика такого лечения связана с тем,что данный метод лечения является запатентованной технологией, все результаты обследований направляются в США, там же изготавливается комплект капп индивидуально для каждого пациента. Стоимость капп составляет порядка нескольких тысяч долларов. Проводить лечение может только доктор прошедший сертифицированное обучение.
К сожалению, методика Инвизилайн работает не всегда и не является «волшебной палочкой» для решения всех проблем. В каждом конкретном случае необходима консультация специалиста и компьютерная визуализация для решения вопроса о возможности применения данной технологии.
ОСНОВНЫЕ ПРИЧИНЫ НАРУШЕНИЯ ПРИКУСА
Подробнее
наследственность - неправильный прикус передается от родителей детям;
перенесенные в детстве хронические заболевания (ринит, аденоиды), при которых ребенок привыкает дышать не носом, а ртом. Если рот постоянно приоткрыт, на его нижнюю челюсть не отказывается нужного равномерного давления со стороны языка и щек, и происходит задержка в развитии нижней челюсти;
вредные привычки у детей — сосание пальцев, языка, ручек и длительное использование
соски (больше 1-1,5 лет);
раннее удаление молочных зубов
несоответствие размера зубов (крупные) и челюсти;
нарушение выработки гормонов щитовидной железой.
ОСНОВНЫЕ ВИДЫ НАРУШЕНИЯ ПРИКУСА
Прикус - это соотношение зубных рядов верхней и нижней челюсти. Все виды неправильного прикуса сопровождаются нарушением функции жевательных и отдельных групп мимических мышц.
Подробнее
Прогенический прикус
Прогенический прикус - это нарушение прикуса в направлении вперед-назад. При этом нижняя челюсть выдвинута вперед.
Признаки прогении:
передние зубы нижней челюсти расположены впереди верхних.
первый малый коренной зуб контактирует одновременно с таким же зубом нижней челюсти и с позади стоящим зубом.
При прогеническом прикусе нарушаются откусывани пищи, жевание, речи и даже глотания. Изменяется вид ребенка в профиль.
В период молочных зубов необходимо:
постараться отучить ребенка от вредных привычек, например, сосать палец;
лечить заболевания зубов, полости рта и носоглотки;
применять ортодонтические аппараты, задерживающие рост нижней челюсти и стимулирующие рост верхней челюсти.
При установлении постоянного прикуса аппаратное лечение прогении проходит с большим трудом.
Прогнатический прикус
Прогнатический прикус - это нарушение прикуса в направлении вперед-назад, при этом верхняя челюсть выдвинута вперед, зубы на ней также выдвинуты вперед по отношению к зубам нижней челюсти.
Признаки прогнатии:
передние верхние зубы выступают вперед и не контактируют с нижними;
первый большой коренной зуб верхней челюсти контактирует одновременно с таким же зубом нижней челюсти и впереди стоящим;
образуется щель между зубными рядами верхней и нижней челюсти.
Прогнатический прикус сопровождается нарушением откусывания и разжевывания пищи, речи, дыхания.
В профиль у такого ребенка заметно выступает верхняя губа, зубы, а в тяжелых случаях - вся верхняя челюсть. Подбородок смещен кзади, губы не смыкаются.
После замены молочных зубов на постоянные у детей замедляется рост лицевого скелета, это затрудняет лечение. У подростков ортодонтическое лечение часто сочетается с хирургическим.
Открытый прикус
Нарушение прикуса в направлении верх-вниз называется открытым прикусом. Признаки открытого прикуса: отсутствие контакта между зубными рядами и наличие между ними вертикальной щели при сомкнутых зубных рядах.
При открытом прикусе нарушаются жевание и речь, вырабатывается ротовой тип дыхания, отчего страдает слизистая оболочка полости рта - появляется сухость, воспаление, может начаться пародонтит.
Открытый прикус может сформироваться при длительном сосание соски, нарушении носового дыхания или при опухолях языка.
Глубокий прикус
Нарушение прикуса в направлении верх-вниз называется глубоким прикусом. Есть два вида глубокого прикуса: верхние передние зубы перекрывают нижние больше, чем на 1/3 коронки зуба или верхняя дуга имеет больший радиус и полностью перекрывает зубную дугу нижней челюсти.
Глубокий прикус всегда сопровождается нарушением функции жевательных мышц и височно-нижнечелюстного сустава.
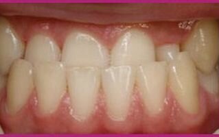
Перекрестный прикус
Перекрестный прикус - это нарушение прикуса в направлении вправо-влево из-за неправильного смыкания коренных зубов. При этом передние зубы смещены в противоположную от средней линии сторону, центральные резцы контактируют между собой перекрестно, нижние коренные зубы смещены.
Почему нужно исправлять неправильный прикус и чем чревато отсутствие ортодонтического лечения:
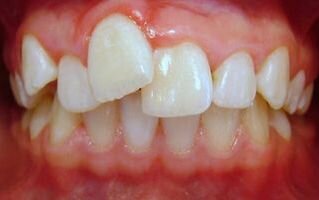
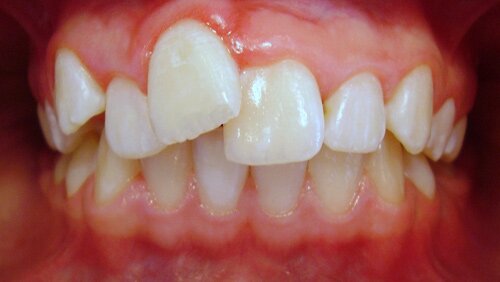
неправильный прикус – чаще всего это неровные некрасивые зубные ряды.
неправильный прикус очень часто сопровождается множественным кариесов, что может привести к ранней потерей зубов.
неправильный прикус часто создаёт травматическую оклюзию и приводит к расшатыванию зубов, проблемам с пародонтом и к ранней потере зубов.
неправильный прикус часто сопровождается сужением дыхательных путей приводя к высокому риску инфарктов миокарда и инсультов.
при неправильном прикусе очень часто невозможно адекватное протезирование зубов
ЛИНГВАЛЬНЫЕ БРЕКЕТЫ INCOGNITO.
Брекет-система Incognito (Инкогнито) — лингвальные брекеты, которые устанавливаются с внутренней стороны зубного ряда. Разработаны доктором Вихманом в начале 2000 годов в Германии. За счёт применения высоких технологий компьютерного 3D-моделирования и сверхточного миниатюрного литья высоколигированных металлических сплавов брекеты Incognito стали новой ступенью развития ортодонтии.
Брекет-система Incognito (Инкогнито) — лингвальные брекеты, которые устанавливаются с внутренней стороны зубного ряда. Разработаны доктором Вихманом в начале 2000 годов в Германии. За счёт применения высоких технологий компьютерного 3D-моделирования и сверхточного миниатюрного литья высоколигированных металлических сплавов брекеты Incognito стали новой ступенью развития ортодонтии.
Сплав и сама методика Incognito официально запатентованы в России в 2007 году.
Подробнее
Основное преимущество Incognito - они невидимы для окружающих. Есть еще ряд достоинств, которые следует отметить например, с их помощью удается исправить такой дефект, как глубокий прикус, с чем классические брекеты обычно не справляются. Еще одно положительное свойство Incognito - гипоаллергенность, связана с тем, что изготовляются брекеты Incognito из золота высшей пробы.
Отрицательные качества у внутренних брекетов тоже имеются - к ним относятся, в первую очередь, трудоемкость изготовления систем и вытекающая отсюда цена, и иногда, необходимость их длительного ношения.
Процесс изготовления невидимых брекетов начинается со снятия слепков. Которые, в дальнейшем, отправляются в Германию, где на высокоточном оборудовании изготавливается индивидуальный брекет. Который подходит только для конкретного пациента.
Изгиб дуги, брекет системы incognito, также должен в точности соответствовать идеальному зубному ряду, поэтому дугу формируют не вручную, а при помощи специальной аппаратуры. Также индивидуально. Такой процесс, нередко и вполне оправданно, сравнивается с работой ювелира. С учетом оформления и пересылки на изготовление индивидуальных брекетов уходит в среднем 2,5-3 месяца.
Что касается цены, то в сравнении с обычными брекетами, Incognito стоят примерно в 2-3 раза дороже, хотя цифра эта является весьма условной. Здесь не мало важную роль играет курс евро, и сложность лечения того или иного пациента. Поэтому цена на брекеты incognito для широкого круга пациентов по-прежнему остается недоступной.
Установка невидимых брекетов Incognito требует тщательной предварительной подготовки, санация полости рта — лечение у стоматолога-терапевта. Устанавливать систему и в дальнейшем работать с ней могут только врачи-ортодонты прошедшие специализированное обучение и сертификацию.
После трудоемкого процесса изготовления системы, остается только зафиксировать брекеты в полости рта (приклеить специальным клеем), и далее в течении всего периода лечения, регулярно посещать плановые приемы у доктора ортодонта.
Каким образом исправляют прикус и как выглядит установка брекет–системы