+7 (4712) 360 023

Новости

  • 21.10.2015

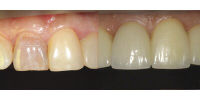
    18-19.10.2015г. Специалист клиники, Прокопенко Юлия Александровна, прошла обучение по курсу: «Современные методы устранения дисколоритов зубов». к.м.н. А.Акулович в Москве.

  • 14.09.2015

    12-13 сентября 2015г. сотрудники клиники прошли обучение Рогацкина Дмитрия по теме «Трехмерная радиодиагностика челюстно-лицевой области» в городе Воронеж.

  • 27.05.2015

    08.05.15г. - 09.05.15г. Сотрудник фрезерного центра Магамедэминов Р.С. прошел обучение по курсу «Цельнокерамические реставрации» у зубного техника Александра Щеблыкина в Воронеже.

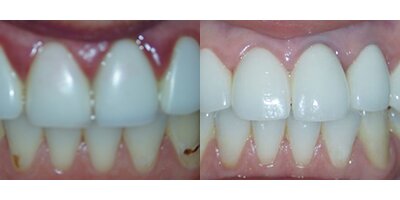
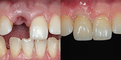
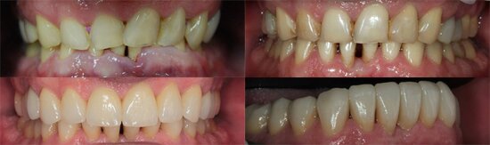
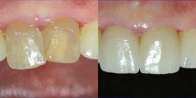
Наши работы

 


LiveZilla Live Help