Отбеливание зубов в Курске
Цены от 10000 рублей
Цены на все услуги...
Заказать отбеливание зубов в Курске Вы можете у нас.
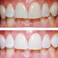
Желание иметь ослепительную, белоснежную улыбку является естественной потребностью современного человека и является клиническим показанием к проведению отбеливания зубов. Отбеливание зубов применяется уже много лет и существует множество методик и материалов.
Сегодня революционной новинкой в отбеливании является ламповое фотоотбеливание Zoom-4. Отбеливание зубов за 1 визит без вреда для эмали, теперь с нами это стало возможным.
Zoom-4 компании Philips - это последнее поколение отбеливающих ламп холодного свечения. Эта технология позволяет использовать самую низкую концентрацию перекиси водорода, а холодный свет лампы не перегревает ткани зуба и десен, отбеливающий гель не вызывает деминерализацию эмали зубов - все это делает процедуру отбеливания абсолютно безвредной
Что нужно знать при планировании отбеливания зубов?
- Перед процедурой отбеливания проводится профессиональная гигиена полости рта.
- Отбеливаются только ткани зубов! При наличии пломб и коронок, может потребоваться их замена после отбеливания.
- Отбеливаются только здоровые зубы! При наличии кариозных полостей необходимо предварительное лечение.
- В первые дни проведения отбеливания возможна небольшая обратимая чувствительность зубов.

Улыбка отражает внутреннее состояние человека, эмоции, чувства и даже характер.
Неотъемлемой частью улыбки являются красивые белые зубы. Мода на белые зубы возникла после того, как Голливуд был сражен белозубой улыбкой великой Мэрилин. Стоматологов буквально атаковали дамы, мечтающие о «феномене Монро». Жители США тратят сумму в 490 миллионов долларов в год на материалы и процедуры по отбеливанию зубов для того, чтобы иметь белоснежную улыбку. С «Мастерской улыбок» голливудская улыбка стала более доступной.
НЕСКОЛЬКО МИФОВ ОБ ОТБЕЛИВАНИИ
1. Любое отбеливание делает зубы белыми.
Нет, не любое. Большинство стоматологических клиник сегодня предлагает отбеливание Air Flow. Если быть точными, это не отбеливание, а очень хорошая и грамотная чистка зубов. Под большим давлением из наконечника специального аппарата Air Flow (по-русски это звучало бы как «воздуходув») подается воздушная струя в смеси с водой и мелкодисперсным порошком, по составу похожим на обыкновенный зубной порошок. Эта струя, направленная опытной рукой стоматолога на зубы, сметает с них все вредное и ненужное: зубную бляшку, главную виновницу кариеса, зубные камни, мягкий пищевой налет (окрашивающий зубы во всевозможные цвета), темный «налет курильщика». После такой освежающей процедуры зубы предстают во всей первозданной красе, правда, эмаль не станет белее той, которая дана вам от природы.
2. Отбеливать зубы может только врач-стоматолог, в крайнем случае его ассистент.
Совсем не обязательно. Современные пасты с отбеливающим эффектом действительно могут сделать ваши зубы белее, но только на 1 тон, не больше, а всего тонов - 12. К сожалению, и эффект длится недолго: эмаль становится светлее только при регулярном использовании. Достаточно чистить зубы такой пастой 2-3 раза в неделю, а в остальные дни лечебно-профилактические пасты с фтором, кальцием и другими компонентами помогут укрепить зубные ткани. Всем известные отбеливающие пасты, такие как «Колгейт Уайт», «Жемчуг», «Лаколют» и «Бленд-а-мед», обладают повышенной абразивностью, то есть хорошей очищающей способностью. Паста Rembrandt наименее абразивна, поскольку содержит фермент папаин, растворяющий мягкий зубной налет.
3. Существуют вредные и полезные «отбеливающие» зубные пасты.
«Вредных» паст все-таки нет. Многое зависит от индивидуальных особенностей человека, от состояния эмали его зубов, характера питания, от того, насколько быстро у него образуется мягкий налет, какой он пользуется щеткой (мягкой или жесткой), сколько раз в день и как долго чистит зубы. Одна и та же паста у одного человека будет способствовать стиранию эмали, а у другого нет. Между тем людям с повышенной чувствительностью эмали (чаще всего это связано с обнажением шеек зубов, клиновидными дефектами и гипоплазией эмали) лучше не пользоваться отбеливающими средствами, а предпочесть пасты со специальной формулой для чувствительных зубов.
4. Отбеливать зубы очень вредно, потому что можно испортить эмаль.
Современная стоматология располагает эффективными и безопасными препаратами для отбеливания. Если у конкретной бренд - технологии есть регистрационное удостоверение Министерства здравоохранения РФ, то такую систему можно считать вполне безвредной - технологии прошли серьезные клинические испытания.
5. После отбеливания можно не заботиться о том, что есть, пить и как ухаживать за ртом?
Регулярно удалять зубной камень и обновлять потускневшие пломбы. Помнить о том, что эмаль, хотя она и самая твердая ткань человеческого организма (по твердости не уступает кварцу), все же проницаема для многих красящих веществ, которые содержатся в красном вине, шоколаде, горчице, кетчупе, соевом соусе, чернике, свекле, темном винограде и «цветных» газировках, черном чае и кофе.
6. Миф о лазерном отбеливании - лазер не отбеливает зубы. Лазер просто ускоряет окислительное воздействие перекиси водорода.
Кому нельзя проводить отбеливание:
- Детям и подросткам до 16 лет: твердые ткани зубов еще не созрели и не имеют достаточной толщины, а отбеливающие вещества могут проникнуть внутрь зуба и вызвать воспаление нерва.
- Страдающим тяжелыми общими заболеваниями (опухоли, высокое артериальное давление, бронхиальная астма и проч.). Имеется в виду, что при фото и лазерном отбеливании используется мощнейший свет лазера или галогеновой лампы, в применении которых есть ограничения. Для таких людей в арсенале остаются отбеливающие пасты.
- Беременным женщинам и кормящим матерям.
- Людям с аллергией на перекись водорода.
Итак: Белизна от профессионалов — это по уму
В клинике "Мастерская улыбок" применяются только безопасные (щадящие методики отбеливания) не повреждающие зубы и окружающие ткани. В большинстве случаев, это сочетание домашнего и кабинетного отбеливания с применением препаратов лучших производителей в минимальной концентрации. Только индивидуальный подход с доскональным обследованием позволяет получать максимально длительный эффект отбеливания и сделать процедуру безопасной.
Смотрите также:
Любое ли отбеливание делает зубы белыми?
Эстетическое протезирование
Керамические виниры

Эстетическое протезирование
Лечение с микроскопом
Стомат для беременных
Исправление прикуса
Отбеливание зубов
Имплантация
Керамические виниры
Все наши услуги
